
近日,江苏13岁女孩欣欣在练习舞蹈的下腰动作时,不慎受伤导致瘫痪。
南京鼓楼医院脊柱外科行政主任朱泽章介绍,事发时,欣欣在完成下腰动作的瞬间听到“咔嚓”一声,随后向父母和老师反映腰痛、腿麻。遗憾的是,这种损伤一旦发生,往往无法逆转。

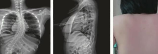
“瘫痪之后,孩子只能依靠轮椅生活,久而久之,脊柱也会出现弯曲。”朱泽章表示,不仅双手生活能力受限,心肺等多个脏器功能也因脊柱变形受到压迫。无奈之下,父母将她送到南京某医院脊柱外科就诊,进行微创矫形治疗。


医生指出,像欣欣这样,因为下腰导致瘫痪的病例几乎每年都会出现。他提醒:跳舞时一定要小心,做下腰动作一定要循序渐进,并做好热身、预备动作等。
此外,医生也提醒,孩子在练习舞蹈动作时,一定要接受正规专业的指导,一些特殊运动或者动作非必要不去尝试。
编辑:涵钰
配查查提示:文章来自网络,不代表本站观点。